Komposisi kalkulus bervariasi sesuai dengan lama
deposit, posisinya di dalam mulut, dan bahkan lokasi geografi dari individu.
Terdiri dari 80% massa anorganik, air, dan matriks organik (protein
dan karbohidrat), sel-sel epitel deskuamasi, bakteri filament gram positif,
kokus, dan leukosit. Masa anorganik terutama terdiri dari fosfat, kalsium,
dalam bentuk hidroksiapatite, brushite, dan fosfat oktakalsium. Selain
itu, juga terdapat sejumlah kecil kalsium karbonat, magnesium, fosfat, dan
florida (Manson, 1993).
Terbentuknya
Karang Gigi
Setelah
kita menyikat gigi, pada permukaan gigi akan terbentuk lapisan bening dan tipis
yang disebut pelikel. Pelikel ini belum ditumbuhi kuman (Bakteri). Apabila
pelikel sudah ditumbuhi kuman (Bakteri) disebutlah dengan plak. Plak berupa
lapisan tipis bening yang menempel pada permukaan gigi, terkadang juga ditemukan
pada gusi dan lidah. Lapisan itu tidak lain adalah kumpulan sisa makanan,
segelintir bakteri, sejumlah protein dan air ludah. Plak selalu berada dalam
mulut karena pembentukannya selalu terjadi setiap saat, dan akan hilang bila
menggosok gigi atau menggunakan benang khusus. Plak yang dibiarkan, lama
kelamaan akan terkalsifikasi (berikatan dengan kalsium) dan mengeras sehingga
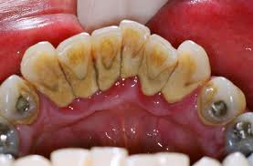
menjadi karang gigi. Mineralisasi plak mulai di dalam 24-72 jam dan rata-rata
butuh 12 hari untuk matang. Karang gigi menyebabkan permukaan gigi menjadi
kasar dan menjadi tempat menempelnya plak kembali sehingga kelamaan karang
gigi akan semakin mengendap, tebal dan menjadi sarang kuman (Bakteri). Jika
dibiarkan menumpuk, karang gigi dapat me-resorbsi (Mengkikis) tulang alveolar
(tulang penyangga gigi) dan akibatnya gigi mudah goyang dan tanggal.
Karang gigi mengandung banyak bakteri-bakteri yang dapat
menyebabkan penyakit lain di daerah sekitar gigi. Bila tidak dibersihkan, maka
bakteri dapat memicu terjadinya infeksi pada daerah penyangga gigi (Gusi, Tulang
gigi, dan Pembuluh darah gigi).
Bila sudah infeksi maka masalah lebih lanjut bisa timbul. Penderita biasanya mengeluh gusinya terasa gatal, mulut berbau tak sedap, sikat gigi sering berdarah, bahkan adakalanya gigi dapat lepas sendiri dari jaringan penyangga gigi. Infeksi yang mencapai lapisan dalam gigi (tulang alveolar) akan menyebabkan tulang pernyangga gigi menipis, kemudian gigi akan goyang dan mudah tanggal.
Selain mengakibatkan gigi tanggal, bakteri menginfeksi jaringan penyangga gigi dan dapat menyebar ke seluruh tubuh. Melalui aliran darah, bakteri dapat menyebar ke organ lain seperti jantung (Bakteremia). Karena itu ada beberapa kasus penyakit yang sebenarnya dipicu oleh infeksi dari gigi, ini disebut infeksi fokal. Penyakit infeksi otot jantung (miokarditis) termasuk penyakit yang dapat disebabkan oleh infeksi fokal.
What should we do?
Tidak
seperti plak gigi yang bisa dibersihkan dengan sikat gigi, karang gigi hanya
bisa dibersihkan oleh praktisi kesehatan gigi (Dokter gigi). Pembersihan karang
gigi memerlukan alat-alat manual maupun elektrik kedokteran gigi. Pembersihan
karang ini biasa dinamakan Scaling.
![]() |
| Scalling dengan alat manual |
![]() |
| Scalling USS (Teknologi Kedokteran Gigi) |
![]() |
| Scalling USS (Teknologi Kedokteran Gigi) |
Pasien
dapat melakukan scaling tiap 3-6 bulan sekali sekaligus memeriksakan kesehatan
giginya secara teratur. Hal ini bertujuan supaya adanya penyakit gigi dan mulut
dapat di deteksi lebih dini sehingga tidak berakibat fatal. Ingat, pencegahan
terjadinya penyakit jauh lebih murah, efektif, dan efisien, jika dibandingkan
harus mengobati penyakit yang sudah terlanjur menyebar.
Rasa
ngilu hingga sensasi gigi goyah yang sering timbul pasca perawatan ini adalah
hal yang biasa terjadi karena sebelum perawatan gigi tersebut tertutup oleh
karang gigi dan saat terbuka maka gigi dan gusi (gingiva) harus
menyesuaikan kondisi lagi maka timbullah sensasi gigi goyah dan rasa
ngilu.
Pada
pasien lain mungkin juga akan muncul perdarahan. Apabila setelah perawatan
gangguan-gangguan ini tidak berkurang, maka sebaiknya segera konsultasikan lagi
ke dokter gigi anda.
PENCEGAHAN
- Menyikat gigi secara sempurna (min.3x/hari)
- Menggunakan Dental floss, untuk menghilangkan sisa makanan ato deposit yang terselip (terjebak) diantara 2 permukaan gigi yang tidak terjangkau oleh sikat gigi.
- Menggunakan obat kumur, mengandung clorhexidine yang membunuh dan menghambat pertumbuhan bakteri (organisme) penyebab plak dan karang gigi
- Kontrol Ke dokter gigi, Sebaiknya dilakukan secara rutin tiap 2 sampai 4 kali dalam setahun. Atau atas pertimbangandokter atas kondisi yang ditemukan. Laju pembentukan karang gigi setiap individu berbeda bedadipicu oleh bebagi faktor dalam tubuh misalnya pada penderita deabetes bniasanya karang gigicepat terbentuk karena kondisi tingkat kekentalan air liur sangat tinggi dan jumlahnya sedikit, karena itu semakin cepat karang gigi terbentuk sering pula kita melakukan perawatan pembersihan (Sriono, 2005: 52 ).
Smoga bermanfaat :)
Daftar
Pustaka
- FJ Harty, R Ogston. 1995. Kamus Kedokteran Gigi. EGC
- Manson J. D. 1993. Buku Ajar Periodonti. Hipokrates: Jakarta
- Sriono, Niken Widyanti. 2005. Pengantar Ilmu Kedokteran Gigi Pencegahan.Cet.ke-1. Yogyakarta: Medika Fakultas Kedokteran Gigi UGM
















